Advanced Full-Arch Rehabilitation
Full Mouth Implants in Sheffield
For patients with failing teeth, extensive gaps, or long-term denture difficulties, full mouth implant treatment may offer a more secure and confident way to restore comfort, function, and appearance. At High Street Dental Care, these advanced cases are assessed carefully with modern CBCT 3D imaging and planned in detail around the health of your mouth, the stability of your bite, and your long-term goals.
Full Mouth Implant Care
A comprehensive solution for extensive tooth loss or failing teeth
Full mouth implant treatment is usually considered when patients are dealing with widespread tooth loss, severely failing teeth, unstable dentures, or a bite that can no longer be restored predictably with simpler treatment alone.
These cases demand careful assessment because the goal is not only to replace teeth but to rebuild comfort, smile confidence, stability, and long-term function in a responsible way. Depending on the case, treatment may involve one arch, both arches, staged extraction planning, and implant-supported full-arch restorations.
At High Street Dental Care, advanced implant rehabilitation is planned around the full clinical picture. We look at the health of the gums, the condition of remaining teeth, bone support, facial proportions, and the way the jaws come together before recommending treatment.
Full mouth implant treatment may be relevant if you want to:
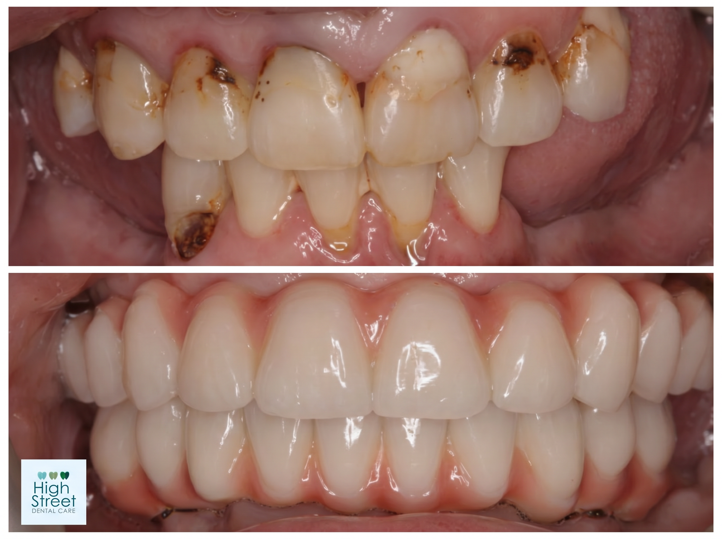
Case Examples
Advanced implant rehabilitation can be planned for a single arch or a full-mouth result
These real case examples help show the range of advanced implant rehabilitation. The principal case demonstrates a broader full-mouth transformation, while the supporting single-arch case shows that some patients may need treatment in one arch rather than both.
Full mouth implants case
This real case supports the discussion around broader rehabilitation where multiple failing teeth or severe tooth loss require a carefully planned implant-supported result.
Supporting single-arch implants case
This supporting real case helps explain that some advanced implant plans involve one arch rather than a full-mouth restoration, depending on the patient’s needs and clinical findings.
Complex Planning
Full mouth implant treatment needs careful case selection
Full-mouth rehabilitation is not a standard treatment package. Some patients may be suitable for one implant-supported arch, while others may need more comprehensive planning involving both arches or a staged approach over time.
The position and health of any remaining teeth, the volume of available bone, gum health, jaw relationships, and overall oral condition all matter. Proper planning helps improve predictability and supports a safer, more stable long-term outcome.
A responsible consultation is also about explaining when treatment should be staged, when adjunctive procedures may be needed, and when a different option may be more appropriate.
Planning for advanced implant cases often involves:
Treatment Journey
How full mouth implant treatment is approached
1. Comprehensive consultation
We assess the whole mouth, including failing teeth, missing teeth, gum health, bone support, current dentures or restorations, and your priorities for function and appearance.
2. CBCT 3D imaging and advanced planning
Our CBCT 3D imaging supports detailed planning for implant positioning, restorative design, and any adjunctive procedures needed for a more predictable outcome.
3. Placement, staging, and healing
Treatment may involve extractions, one or more stages of implant placement, and a healing period before the final implant-supported restoration is fitted.
4. Final restoration and long-term support
Once the case is ready, the final restoration is fitted and we guide you through maintenance, hygiene, and review appointments to support long-term success.
Single tooth implants
If you only need to replace one missing tooth, a more focused treatment plan may be more appropriate than full-arch rehabilitation.
Multiple teeth implant replacement
Where several teeth are missing, implants may support bridges or other restorations without requiring a full-mouth approach.
Finance options
We can explain the financial side of treatment clearly once a suitable plan has been established for your case.
Cost and Finance
What affects the cost of full mouth implants?
These cases vary widely, which is why a meaningful cost discussion should follow proper assessment rather than a simplified estimate. The overall fee can depend on whether one arch or both arches are being treated, how many implants are needed, whether extractions or grafting are involved, and the type of final restoration being planned.
Our role is to explain the treatment stages clearly, outline what your case may involve, and provide a personalised plan based on clinical findings and your long-term goals.
If you would like to discuss ways to spread the cost of treatment, please visit our finance page or contact the practice.
Full mouth implant fees may vary according to:
Whether one arch or both arches require treatment.
The number and position of implants needed to support the restoration.
Whether extractions, grafting, or other preparatory steps are required.
The design and complexity of the final implant-supported restoration.
Frequently Asked Questions
Common questions about full mouth implants in Sheffield
Do full mouth implants always mean both arches?
Not always. Some patients need treatment for one arch only, while others need a wider rehabilitation plan. Your consultation will clarify what is appropriate.
Can implants help if my remaining teeth are failing?
Possibly. These cases need careful assessment because the treatment plan may involve staged extractions, bite planning, and restorative design.
Is full mouth implant treatment suitable for denture wearers?
It can be for some patients, particularly if they want more stability. However, suitability depends on bone levels, anatomy, health factors, and overall treatment goals.
How long does full mouth implant treatment take?
Treatment time varies depending on how complex the case is, whether one or both arches are involved, and whether other procedures are needed. We will explain a realistic pathway after assessment.
Considering Full Mouth Implants in Sheffield?
Book a consultation with High Street Dental Care to discuss whether full-arch or full-mouth implant treatment is appropriate for your smile, your oral health, and your long-term goals.

