Cosmetic Dentistry
Composite Bonding in Sheffield
Composite bonding can be a conservative way to improve the shape, symmetry, and overall appearance of the smile. At High Street Dental Care, treatment is planned around your teeth, your bite, and the finish you want to achieve, with careful assessment to make sure the result looks balanced and feels natural.
Why Patients Choose Bonding
A minimally invasive way to refine the smile
Composite bonding is often chosen by patients who want to improve chipped edges, uneven shapes, small gaps, worn corners, or the overall harmony of the front teeth without moving immediately to more invasive treatment. It can be a very effective option when the underlying teeth are healthy and the goals are carefully planned.
Because bonding is highly technique-sensitive, the consultation matters just as much as the material. We assess tooth shape, bite, proportions, colour, and the way the smile is seen in speech and at rest before recommending what is likely to look balanced and last well.
For some patients, bonding works best on its own. For others, it is better after whitening or following tooth straightening if the aim is to create a cleaner, more even final result.
Real Case Examples
Examples of composite bonding used to improve tooth shape and smile balance
These real cases help show how composite bonding can enhance proportions, smooth asymmetries, and create a more even smile when the treatment is planned carefully around the natural teeth.
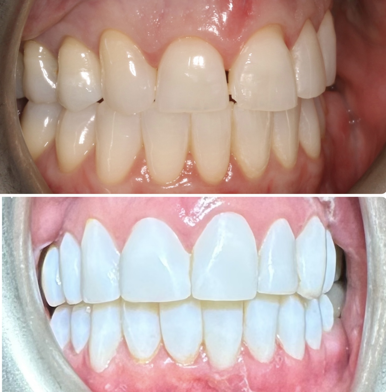
Composite bonding case one
This case illustrates how bonding can improve tooth shape, edge position, and smile balance while maintaining a natural-looking overall result.
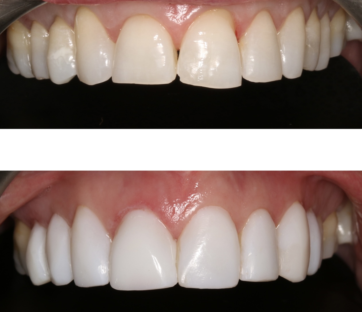
Composite bonding case two
This example supports the discussion around refining the front teeth for a brighter, more even smile with a careful cosmetic finish.
Planning Matters
Not every smile concern is best treated with bonding alone
Composite bonding can deliver beautiful results, but it works best when it is chosen for the right reasons. If teeth are very crowded, heavily worn, unstable, or mismatched in colour, it may be sensible to discuss whitening, straightening, bite management, or a staged cosmetic plan first.
That is why we focus on planning rather than rushing into a cosmetic procedure. The aim is not only to make the teeth look better on the day, but to make sure the result is proportionate, maintainable, and appropriate for the way you bite and use your teeth.
Composite bonding consultations often consider:
- The current shape, alignment, and colour of the teeth.
- Whether whitening should be carried out first for better shade matching.
- Whether tooth straightening would create a cleaner long-term foundation.
- The bite and whether certain edges are at higher risk of wear or chipping.
Treatment Journey
How composite bonding is usually planned
1. Smile assessment and discussion
We discuss what you want to change, assess the teeth and bite, and decide whether bonding is the right fit for your goals.
2. Cosmetic planning
We consider shape, symmetry, edge length, proportions, and whether other treatment such as whitening or alignment should happen first.
3. Bonding appointment
Composite material is added and sculpted carefully so the final result looks smooth, balanced, and appropriate for the smile.
4. Review and maintenance advice
We explain how to care for the result and whether reviews, polishing, or follow-up adjustments are advisable over time.
Cost and Finance
What affects the cost of composite bonding?
The fee depends on how many teeth are involved, how much reshaping is needed, whether other cosmetic treatment is planned first, and how complex the finishing detail needs to be. A small refinement on one or two teeth is very different from a broader smile redesign.
We prefer to advise after proper assessment so you understand the most suitable route and the likely fee for your own case rather than relying on a simplified estimate.
If you would like to spread the cost of treatment, please visit our finance page or contact the team for guidance.
Thinking about cosmetic bonding?
A consultation helps decide whether bonding is the right cosmetic option for your smile.
We can assess your teeth, discuss your goals, and explain whether composite bonding alone is appropriate or whether another treatment sequence would create a stronger result.
Frequently Asked Questions
Common questions about composite bonding in Sheffield
Will composite bonding look natural?
That is always the aim. The outcome depends on planning, tooth proportions, shade matching, and how well the result suits the rest of the smile.
Do I need whitening before bonding?
Sometimes yes. If you want a lighter overall smile, whitening first can make shade planning easier and more predictable.
Can bonding be used instead of orthodontics?
In some mild cases it may help improve appearance, but if alignment is a key issue, tooth straightening may be the better foundation.
Is composite bonding suitable for everyone?
No. Suitability depends on your teeth, bite, oral health, cosmetic goals, and whether the result can be maintained well over time.

